+90 850 885 07 08
Anasayfa
Vaka Örnekleri
Kullanıcı Görüşleri
Tedavi Planlaması
Hakkımızda
İletişim
Giriş
Giriş
En
Tr
Vaka Örnekleri
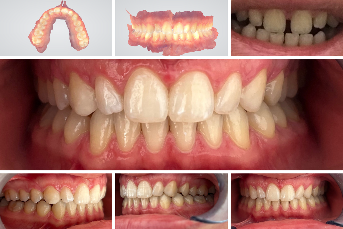
HASTA 1 12 plak 3 ay
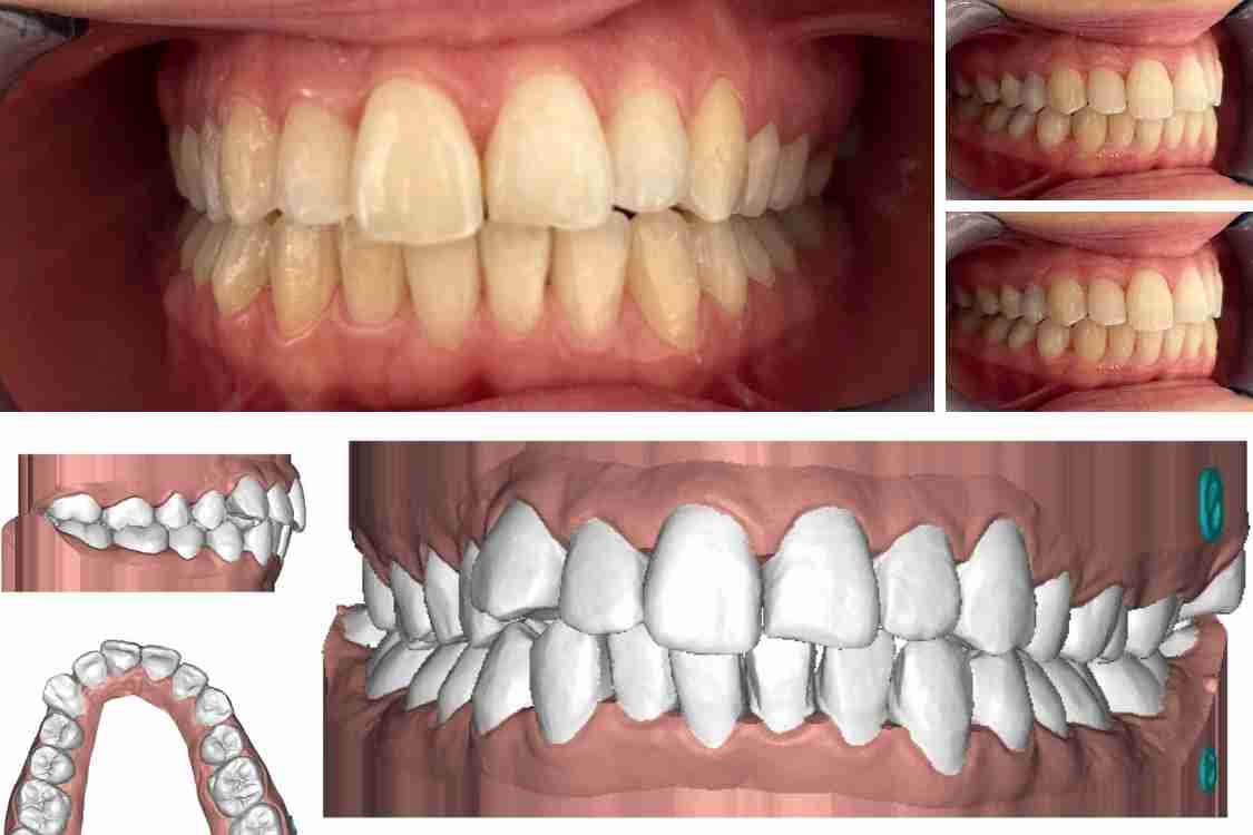
HASTA 2 24. Plak tedavi devam ediyor.
HASTA 3. 22. PLAK tedavi devam ediyor.
HASTA 4. 17 Plak 6 ay tedavi süresinde bitmiştir.
HASTA 6. 15 Plak 5 ay tedavi süresi